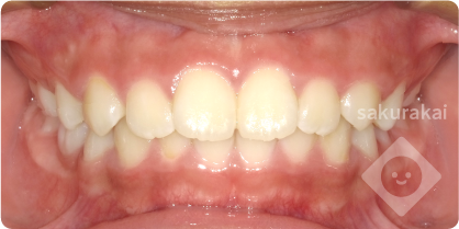
口周りの筋肉や顎の骨の正常な発達をサポートし、このあと生えてくる永久歯がキレイに並ぶための土台づくりを行います。
歯並びに影響を与える要因として、遺伝などの先天的なものもありますが、実は日常生活における癖や習慣といった後天的なものがあります。成長期のお子さまの顎や歯並びは、些細なクセや習慣であっても影響を受けやすいため、結果的に歯並びに大きく影響してしまいます。
実は
歯並びを悪くするクセが
あるんです!
お子さまに当てはまるものはありますか?
指しゃぶりや爪かみなどのクセがある
口がポカンと開いていることが多い(口呼吸)
頬杖をよくつく・うつぶせ寝をしている
食べ物をあまり噛まずに飲み込んでいる
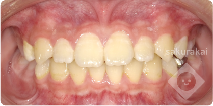
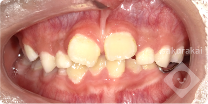
永久歯がガタガタ・すき間がない
クセを続けると顎の成長がうまくいかず、
下のような歯並びになる可能性が!
チェックリストに当てはまった方は
早めの受診をオススメしています
お子さまの将来を考えて、
お子さまの成長に合わせた矯正治療
をご提案しています!
クセを直すってどうするの?
歯並びの矯正って
ワイヤー矯正が主流だよね?
だけが小児矯正ではありません!
乳歯だけの時期
永久歯への生え替わり時期
顎の成長を活用し、歯が正しく並ぶためのスペースを確保する治療を行います。顎と上下の歯のバランスを調整し、正常な噛み合わせと骨格に導きます。
永久歯が生え揃った時期
歯を美しく並べることを目的とした治療が中心となります。治療方法は、基本的に大人と大きな違いはありません。
永久歯が生え揃ってから
矯正したらいいんじゃ?
ですが、必ずしもすべてのお子さまにそれが当てはまるとは限りません。
状況によっては、永久歯が生え揃う前であっても経過観察を進める場合もございます。
すぐに矯正すべきかどうかは症例ごとに異なりますので、検査を踏まえて適切な治療をご提案させていただきます!
-
1
抜歯を回避できる場合も
正常な顎の発育を促し、永久歯が並ぶスペースを確保することで、将来的に矯正治療が必要になった際に、抜歯を回避できる可能性が上がります。
-
2
痛みが抑えられる
子どものうちは骨が柔らかいので、弱い力で歯を動かすことができます。大人になってからだと骨は硬くなっており、矯正の伴う痛みは強い場合がほとんどです。
-
3
治療費が抑えられる
0期〜Ⅰ期治療で、歯を並べるスペースを十分に確保できると、Ⅱ期治療を行わずに済む場合も。もし移行となっても、通常よりも軽度の治療で進めやすくなります。
-
4
後戻りのリスクが少ない
顎の成長を利用して正常な歯並びを目指す小児矯正では、治療後も歯が元の位置に戻ろうとする力が少ないので後戻りのリスクが少なくなります。
-
5
虫歯・歯周病の予防になる
歯並びが悪いと磨き残しが増え、虫歯や歯周病のリスクが高まります。乳歯の虫歯は永久歯自体が虫歯になったり、永久歯の歯並びに影響を及ぼす場合もあります。早いうちから歯並びを整えることでセルフケアがしやすくなります。
- 子どもが歯医者に嫌がらず通えるか心配
- 定期的な通院が大変そうで心配
- 費用面で負担が大きくないか心配
-
子どもの成長期という大事な時期に
矯正が悪影響を与えないか心配
お任せください!さくら会では
と多くのご家族さまに
選ばれています!
-
豊富な実績&
女性ドクター在籍これまでに症例数は1,000件を突破。豊富な経験に基づき、一人ひとりに合わせた治療を行います。さらに女性ドクターも在籍しており、歯医者が苦手なお子さまでも安心して通えます。
※医院によっては女性ドクターが不在の場合がございます。 -
通いやすさ抜群!
地域密着の21医院ネットワーク愛知・千葉・東京を中心に21医院を展開。お住まいや学校、習い事のスケジュールに合わせて通いやすい医院を選べます。多くの医院には駐車場を完備しているので、小さなお子さま連れでも車でラクラク通院可能です。
※一部駐車場がない医院もございます。 -
子どもが“行きたくなる
”工夫がいっぱい!待ち時間を楽しく過ごせるキッズスペースや、ママも安心の無料託児サービスをご用意。さらに会員数3,800名を超える『さくら会キッズクラブ』では、イベントや特典を通して“歯医者が楽しみな場所”に変わります。
※キッズスペース・託児サービスは医院によって異なります。 -
生活や成長に寄り添う
お子さまの成長を妨げない治療矯正治療はマウスピース型装置を中心に提供。食事や歯みがきの際に取り外せるので衛生的です。スポーツや楽器などの習い事にも影響が少なく、普段の生活を妨げません。お子さまの顎の成長を活かした治療で、将来の歯並びを無理なく整えます。
-
明瞭な料金体系&
家計にやさしい分割払い法人ならではの一括仕入れで、治療費を抑えつつ明瞭な料金体系を実現。後から思わぬ追加費用が発生することはありません。また最大84回までの分割払いにも対応しているので、無理なく治療を始められるご家庭が多いです。
お支払い方法
-
無理な勧誘を
されたら
どうしよう… -
都合のいい話
だけされたり
しない? -
矯正するか
相談当日に
決めないと
ダメ?
ご安心ください!
さくら会矯正相談は
- 無理な勧誘は一切行いません!
-
相談当日に治療に進むか
決める必要はございません! -
治療に伴うデメリットも
分かりやすくお伝えします! - 相談に費用はかかりません!
私たちさくら会の矯正専門スタッフ
へぜひご相談ください!
無料矯正相談の流れ
- 費用
- 0円
- 所要時間
- 45分程度
-
01 ご来院&問診票の記入
まずは患者さまの正しい情報を把握させていただくために問診票の記入をお願いしています。また当日はお子様と一緒にご来院ください。
-
02 カウンセリング
問診票にご記入いただいた内容を踏まえてカウンセリングを行います。また、治療に関してお悩みやご希望があればお伺いしております。
-
03 矯正医による視診
視診では現状の歯並びと噛み合わせのチェックを行います。もちろん矯正医へ直接ご質問も可能です。
-
04 矯正装置や費用などのご説明
矯正装置の種類や治療期間、治療の流れ、費用などのご説明をさせていただきます。より具体的な情報は精密検査の後に診断結果と合わせてお伝えしております。
0期矯正では鼻呼吸や舌の間違った位置などの「悪い癖・習慣」を改善しつつ、このあと生えてくる永久歯がきれいに並ぶためのスペース作りと、正常な顎の発達を促します。
鼻呼吸や舌の間違った位置などの「悪い癖・習慣」を改善しつつ、このあと生えてくる永久歯がきれいに並ぶためのスペース作りと、正常な顎の発達を促します。
プレオルソは、口周りの筋肉や舌の癖を正常な動きへと導くために使用される小児向けのマウスピース型矯正装置です。プレオルソの特徴として治療の段階に分けて使用するマウスピースの形状が変わる特徴があります。そのため永久歯が生え始める0期矯正以降もプレオルソを使用する場合があります。
マウスピースの装着と合わせて
MFT(口腔筋機能療法)を行います
間違ったクセ・習慣を改善する
マウスピースの装着
マウスピースは日中1時間と就寝時に装着します。悪影響を与える癖や習慣を改善できるよう設計されており、お子さまの年齢や顎の発育・口の状態に合わせ、歯科医師の指導のもと使い分けます。
永久歯を正しい位置へ導く
MFT(口腔筋機能療法)
食べたり話したりする際の舌や唇の位置を正すトレーニングです。継続することで口周りの筋肉バランスが整い、癖の改善や治療後の歯並び安定につながります。当院では矯正をスムーズに進めるため積極的に取り入れています。
口呼吸を鼻呼吸に!
しっかり酸素が取り込めるので集中力がアップします。また、喉に直接外気が当たるのを防ぐので風邪などをひきにくい強い体になります。
顔つきが健康的に!
口周りの筋肉の使い方、顎の発達が正常になることで、一般的にキレイと言われる健康的な顔つきになります。
舌が正しい位置に!
舌が正しい位置にあることで口周りの筋肉への負担を抑えます。また、前歯を舌で押し出す癖があると前歯の歯並びが崩れてしまいますので、それを防ぎます。
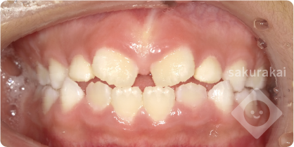
年齢:10歳(治療開始時9歳) 診断:叢生
治療方法:プレオルソの使用及びトレーニング
治療期間:3年 総額:478,500円
プレオルソ&MFTだけで
終わるの?
症例にもよりますが、0期矯正は「歯並びを整えるための土台作り」として大きな力を発揮します。そのため、必要に応じてⅠ期矯正の「インビザラインファースト」という装置のご案内をしたり、将来的にⅡ期矯正のご案内をさせていただく場合もございます。もちろん、0期矯正のみで治療が完了されるお子様もいらっしゃいます。お子様のお口の状態に合わせて適切な治療法をご提案させていただきます。
0期矯正に引き続き、Ⅰ期矯正でも骨格を整えると同時に徐々に生え揃う永久歯がきれいに並ぶように歯列の拡大と、歯並びを整えていきます。クセの改善トレーニングはもちろん、歯並びにも本格的にアプローチしていきます。
一期治療では、これまで主にワイヤー矯正や、拡大床装置、顎外装置などを組み合わせて歯並びを整える方法が一般的でした。
一方で、マウスピースを使用した矯正治療「インビザライン ファースト」は、ワイヤーを使わないため、お子さまが苦手意識を持ちにくく、さらに取り外しができるという特徴があります。この治療法は、ワイヤーの装置が目立つことに抵抗があったり、違和感があって馴染めなかったお子さまでも、快適に矯正治療を進められる選択肢として注目されています。
インビザラインファースト以外にも
矯正装置を取り扱っております!
お子様の状態や目的に応じて適した
装置をご案内させていただきます。
カウンセリング時に、お悩みやご希望をお伺いし、矯正医による視診では歯並びと噛み合わせのチェックを行います。
治療の開始時期、料金のご説明もさせていただきます。
矯正治療を進めていくために必要な情報を得るための大切な検査です。この検査結果を踏まえて矯正医が診断結果と治療計画を作成します。
精密検査からおよそ2週間ほどで診断結果がでます。より具体的な治療方針、治療期間や料金等の説明を丁寧に行います。改めてご不明点などを相談も可能です。
治療内容に同意いただけたら、料金の入金後、治療スタートです!トレーニングが必要なお子さまは、専門スタッフがトレーニング方法をお伝えさせていただきます。その後定期的に経過観察を行います。
矯正治療が終了後、その歯並びを固定するために保定装置(リテーナー)を装着していただく期間があります。また3,4ヶ月に一度ご来院いただき噛み合わせなどのチェックも行います。
-
小児矯正は何歳から始めるのが良いですか?目安は3〜5歳ごろから始める「0期矯正」、6〜12歳の「Ⅰ期矯正」です。年齢に幅があるのはお子さまによって成長度合いが異なるためです。お子さまお一人お一人の歯並びや顎の成長に合わせて適切な開始時期をご提案いたします。
-
矯正を始めるタイミングを逃すとどうなりますか?小児矯正はお子さまの成長期にしか行えない”期間限定”の矯正です。そのため適切な時期を逃すと適用できない場合がございます。成長期を過ぎると顎の骨が固まり、小児矯正ではなく成人矯正(Ⅱ期矯正)をご提案させていただきますが、治療の負担や期間が増える場合があります。ですのでお子さまの矯正をお考えの方はお早めにご相談いただくと将来的な抜歯や費用を抑えられる可能性が高まります。
-
小児矯正の費用はどのくらいかかりますか?さくら会では矯正治療にかかる費用として「検査・診断料金」「矯正装置代」「来院ごとの調整料」「保定装置」が主に発生いたします。プレオルソは総額28万円台〜、インビザラインファーストは60万円台〜が目安です。お支払いは分割払い(最大84回)や医療費控除もご利用いただけます。
-
治療は痛いですか?子どもが嫌がらないか心配です。マイオブレース矯正もインビザラインファーストもどちらもマウスピースを用います。弱い力で歯を動かすため、従来のワイヤー矯正に比べ痛みが少ないのが特徴です。また柔らかい素材でできているため、お口の中を傷つけにくくお子さまでも安心して続けられます。
-
装置は学校や習い事に影響しませんか?プレオルソは日中1時間と夜寝る時のみの装着。インビザラインは透明で目立ちにくく、食事や歯磨きの時は外せます。ですのでスポーツや楽器演奏にも影響が少なく、実際にさくら会で矯正されているお子さまでも部活や習い事と両立しているお子さまが多くいらっしゃいます。
-
どのくらいの期間通院が必要ですか?お子さまの状態によりますが、平均で1〜3年程度、1〜2か月に1回の通院が目安です。経過観察を含め、長期的にサポートいたします。
-
プレオルソやインビザラインファーストはどんな装置ですか?プレオルソは口腔習癖を改善するマウスピース型装置、インビザラインファーストは透明で目立たないマウスピース矯正です。成長期に合わせた治療が可能です。
-
矯正治療をやめたら歯並びは元に戻りますか?従来の矯正では「後戻り」が心配されますが、プレオルソは癖の改善も行うためリスクを軽減できます。治療後は保定装置で歯並びを安定させます。正しく装置を使用し、トレーニングを実施していただければ後戻りのリスクは軽減されます。
-
兄弟で同じ医院に通わせられますか?はい。ご兄弟で同じ医院に通院いただけます。無料相談も複数名で承りますのでお気軽にご相談ください。習い事や学校の都合で別々の医院での治療も可能です。
-
まずは相談だけでもできますか?費用はかかりますか?初回の矯正相談は無料です。無理な勧誘は一切行わず、治療の必要性や方法を丁寧にご説明します。相談だけでも安心してご利用ください。



